Escoliosis Congenita
La escoliosis congénita ocurre porque las vértebras no se forman como deberían mientras el bebé crece en el útero.
Las vértebras son los huesos pequeños que componen la columna vertebral; son similares a una torre de bloques de construcción. Algunos de estos huesos pequeños podrían faltar, o algunos de ellos podrían no haberse formado completamente, lo que puede causar que la columna vertebral se curve a medida que crece.
Esto puede comenzar a suceder en las primeras 6 semanas del embarazo, pero por qué sucede no se entiende completamente.
Estudios genéticos no han arrojado evidencias que demuestren que la escoliosis congénita pueda ser heredada.
Actualmente es posible en algunos casos durante los controles ecograficos en mujeres embarazadas se pueda detectar algunas alteraciones en la estructura de la columna y detectar una escoliosis de manera muy precoz.
Sin embargo esto solo se puede confirmarse cuando el bebe nace y ver la evolución con el crecimiento del niño.
En algunos casos, las escoliosis congenita solo se hace evidente en la pubertad o adolescencia y otros cuando comienzan a caminar.
Este tipo de escoliosis ocurre durante el desarrollo fetal. Se provoca por una malformación congénita en la columna vertebral:
Fallo en la formación normal de las vértebras.
Ausencia de vértebras.
falta de separación de las vértebrasértebras parcialmente formadas.
Falta de separación de las vértebras.
Al tener un diagnostico de escoliosis congenita debe descartarse otras malformaciones en otros organos y/o sistemas:
Corazón.
Genito-urinarias.
Anomalias intraespinales.
Es necesario evaluar con detalle al niño y solicitar estudios de imágenes que nos puede mostrar la estructura de la columna en forma completa.
Escoliosis Congénita: Evolución:
Tratamiento:
Observación y/o Monitorización periódica
El especialista usualmente observa si la curva está aumentando.
En algunos casos las curvas no aumentaran y en otros casos se evidenciará un aumento progresivo de la deformidad.
Se necesitará controles periódicos (4-6 meses) para comparar con estudios radiográficos si la curva está aumentando o está detenida.
Tratamiento:
El 75 % tienden a progresar, con frecuencia la cirugía precoz permite que el paciente evite una cirugía mucho más extensa más adelante.
Algunos casos es factible uso de corsets.
|
La mejor manera de obtener un diagnóstico y tratamiento correcto es consultar a un médico especialista en deformidades vertebrales. |
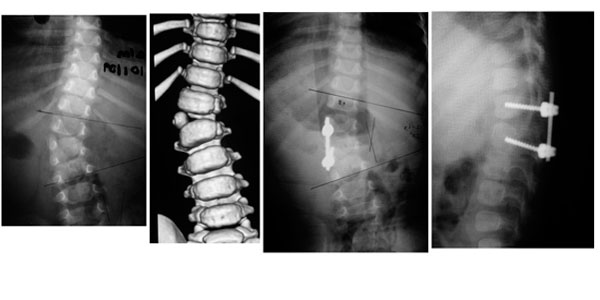
Paciente de 1 año y 8 meses con escoliosis congénita progresiva, se realizó resección de hemivertebra con colocación de tornillos transpediculares
Pronostico
Cuando su niño es diagnosticado de escoliosis congénita, es poco probable saber con exactitud que sucederá con su escoliosis.
Cada caso es diferente.
Algunos aumentarán más que otros.
Algunos casos progresaran rápidamente.
Y otros no tendrán mayores cambios.
La columna vertebral crece rápidamente en los primeros 5 años de vida y en la adolescencia, es importante que en estos periodos tener una observación estricta por el especialista en escoliosis

